Vì sao răng sứ Veneer được nhiều người yêu thích?
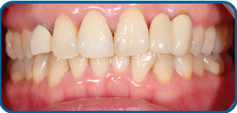
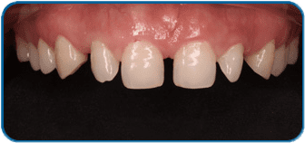
Mặt dán sứ Veener là một lớp răng sứ mỏng cứng chắc, có màu sắc trắng đẹp tự nhiên. Phục hình bằng phương pháp này, mặt sứ sẽ được gắn lên mặt trước của răng giúp che đi các khuyết điểm về mặt thẩm mỹ. Áp dụng cho các trường hợp như:
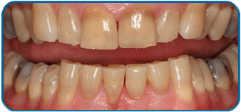
- Răng bị ố vàng, xỉn màu do nhiễm thuốc kháng sinh
- Răng mọc thưa, lệch lạc
- Răng ngắn, kích thước các răng không đều
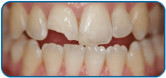
- Răng bị bể, mẻ, vỡ
- Răng bị mòn men
Ưu điểm của phương pháp dán răng sứ Veneer
Phương pháp dán răng sứ Veneer được đánh giá cao nhờ những ưu điểm vượt trội có thể mang lại cho người dùng:
– Thẩm mỹ cao: Mặt dán sứ Veneer sở hữu màu sắc, độ trong mờ, độ gợn như răng thật. Ngoài ra, dáng răng đa dạng, được cập nhật theo xu hướng mới nhất giúp người dùng sở hữu nụ cười tự nhiên, chuẩn nhân tướng học, phong thủy.
– Bảo tồn chân răng: Miếng dán răng sứ Veneer siêu mỏng nhẹ giúp hạn chế tối đa việc tác động, mài mô răng thật.
– Đảm bảo ăn nhai: Răng sứ Veneer có khả năng chịu lực tốt gấp nhiều lần răng thật, nên bạn có thể thoải mái ăn uống mà không cần kiêng dè nhiều.
– Độ bền cao: Nếu bạn biết cách chăm sóc khoa học, miếng dán Veneer có thể dùng được 20 năm hoặc hơn thế nữa.
– Hoàn toàn lành tính: Thành phần 100% từ sứ không kim loại nên không gây kích ứng hay bị oxi hóa.
– Công nghệ hiện đại: Dán răng sứ Veneer được chế tác với kỹ thuật ép nhiệt Press và công nghệ CAD/CAM giúp đảm bảo độ chắc chắn, chính xác, tương thích tuyệt đối với cùi răng.
Vì Sao Nên Dán Sứ Veneer Tại Dr. Thái Saigon?
Dr. Thái Saigon luôn áp dụng những phương pháp có tính chuyên sâu nhằm đem lại giá trị thẩm mỹ, chức năng tối ưu cho khách hàng.

Bác sĩ vững chuyên môn
Bác sĩ Chuyên khoa I Cang Hồng Thái với hơn 20 năm kinh nghiệm sẽ trực tiếp phác thảo kế hoạch điều trị phù hợp, tính toán tỷ lệ mài răng chính xác nhằm bảo tồn tối đa răng thật, mang lại kết quả lâu dài và toàn diện cho nụ cười của bạn.
Cơ sở vật chất, công nghệ kỹ thuật số hiện đại 4.0
Để hỗ trợ quá trình dán sứ Veneer chính xác và hiệu quả cao, Dr. Thái Saigon chú trọng đầu tư cơ sở vật chất hiện đại, trang bị đầy đủ thiết bị mới nhất như máy chụp phim Sirona, máy làm sứ CAD/CAM kỹ thuật số, máy Scan 3D itero lấy dấu răng nhẹ nhàng, chính xác. Ngoài ra, tại Dr. Thái Saigon với công nghệ độc quyền thiết kế nụ cười 3D & ALL IN ONE giúp mô phỏng chính xác 99.9% kết quả sau khi thực hiện, để khách hàng có thể xem trước và an tâm.
Chất liệu sứ chính hãng, an toàn và độ bền cao
Sử dụng sứ Emax Press nhập khẩu trực tiếp từ Châu Âu. Đây là loại sứ có chất lượng cao, đẹp tự nhiên, đa dạng màu sắc giúp khách hàng dễ dàng lựa chọn. Hơn nữa, sứ Emax Press còn chịu lực tốt, thời gian sử dụng lâu dài.
Kết quả toàn diện về thẩm mỹ và chức năng ăn nhai
Điều trị dán sứ Veneer tại Dr. Thái Saigon không chỉ phục hình nụ cười sáng đẹp, hàm răng đều thẳng đạt chuẩn thẩm mỹ, mà còn đáp ứng yếu tố kỹ thuật như khớp cắn ngay ngắn, ăn nhai thoải mái như răng thật, nâng cao tuổi thọ răng sứ.
Dịch vụ chu đáo, bảo hành uy tín
Điều trị tại Dr. Thái Saigon, nhiều Khách Hàng có trải nghiệm hài lòng tuyệt đối, bởi quy trình hoàn tất nhanh, bác sĩ thao tác nhẹ nhàng, an toàn và đảm bảo hiệu quả sau cùng sở hữu nụ cười rạng rỡ cùng với chế độ bảo hành uy tín cho Khách Hàng.
Hãy để Dr. Thái Saigon đồng hành cùng bạn trên hành trình sở hữu nụ cười tự tin – chuẩn thẩm mỹ – bền vững theo thời gian.
Liên hệ ngay để được tư vấn chi tiết và đặt lịch thăm khám!