TẨY TRẮNG RĂNG

Tẩy trắng răng là phương pháp giúp khôi phục và cải thiện tình trạng răng ố vàng được nhiều người ưa chuộng hiện nay. Là phương pháp thẩm mỹ nha khoa đơn giản với mức giá không quá cao, đây được xem là một trong những cách đơn giản để có được một hàm răng trắng đều và đẹp. Sở hữu hàm răng trắng không chỉ giúp cải thiện thẩm mỹ mà còn mang lại sự tự tin trong giao tiếp hàng ngày. Cùng Dr. Thái Saigon tìm hiểu kỹ hơn về phương pháp này trong bài viết sau.

Tẩy trắng răng là phương pháp thẩm mỹ nha khoa sử dụng các chất oxy hóa như Hydrogen Peroxide hoặc Carbamide Peroxide để phá vỡ chuỗi phân tử màu bên trong lớp men và ngà răng, giúp răng trở nên trắng sáng hơn so với màu tự nhiên ban đầu. Đặc biệt, phương pháp này có ưu điểm là hoàn toàn không gây tổn hại gì đến răng nên rất được nhiều người ưa chuộng thực hiện.

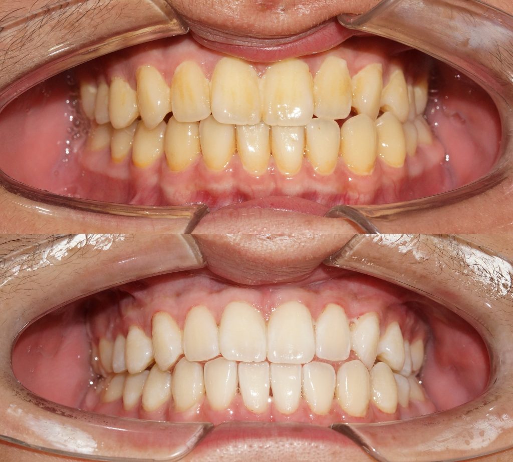
Răng trắng sáng bật tone sau khi tẩy trắng

Nhờ những ưu điểm kể trên, những đối tượng bị vàng răng do các nguyên nhân sau thường thực hiện tẩy trắng răng:

  • Người sử dụng thực phẩm chứa màu như trà, cà phê, rượu vàng,… thời gian dài.
  • Người có thói quen hút thuốc lá.
  • Người sử dụng kem đánh răng chứa hàm lượng fluor cao trong thời gian dài.
  • Người bị nhiễm thuốc kháng sinh.
  • Người bị vàng răng do yếu tố di truyền, tuổi tác,…

Có nên tẩy trắng răng không?

Có, bạn nên tẩy trắng răng nếu răng bị ố vàng do tuổi tác, thói quen ăn uống hoặc hút thuốc, bởi vì phương pháp này giúp cải thiện thẩm mỹ nụ cười, tăng sự tự tin và an toàn khi thực hiện đúng quy trình. Tuy nhiên bạn không nên tẩy trắng nếu đang mang thai, cho con bú, mắc bệnh lý răng miệng hoặc răng quá nhạy cảm.

Ai nên tẩy trắng răng?

Đối tượng nên tẩy trắng răng:

  • Người trưởng thành khỏe mạnh: Từ 18 tuổi trở lên, đã hoàn thiện cấu trúc răng
  • Răng ố vàng do nguyên nhân bên ngoài: Do cà phê, trà, thuốc lá, rượu vang đỏ, thực phẩm có màu
  • Răng xỉn màu do tuổi tác: Men răng mỏng dần theo thời gian, lộ lớp ngà răng màu vàng bên dưới
  • Người có sức khỏe răng miệng tốt: Không sâu răng, không viêm nướu, không bệnh lý nha chu
  • Người mong muốn cải thiện thẩm mỹ: Chuẩn bị cho sự kiện quan trọng (đám cưới, phỏng vấn, chụp ảnh)

Ai không nên tẩy trắng răng?

Đối tượng không nên tẩy trắng răng:

  • Phụ nữ mang thai và cho con bú: Hóa chất tẩy trắng có thể ảnh hưởng đến thai nhi và chất lượng sữa mẹ
  • Trẻ em dưới 16 tuổi: Cấu trúc răng đang phát triển, buồng tủy lớn, dễ bị tổn thương
  • Người mắc bệnh lý răng miệng: Sâu răng, viêm nướu, viêm nha chu, nứt răng, răng bị mòn cổ
  • Răng quá nhạy cảm: Đã có tiền sử ê buốt răng nghiêm trọng
  • Người dị ứng với Peroxide: Đã từng có phản ứng dị ứng với các chất tẩy trắng
  • Răng nhiễm tetracycline nặng: Hiệu quả tẩy trắng rất hạn chế, nên xem xét veneer hoặc bọc sứ
  • Người có nhiều răng giả/sứ: Răng giả không đổi màu, tạo sự chênh lệch màu sắc không thẩm mỹ
KH. NHẬT MINH
KH. TRANG QUỲNH
KH. MAI TRANG

Hãy để Dr. Thái Saigon đồng hành cùng bạn trên hành trình sở hữu nụ cười tự tin – chuẩn thẩm mỹ – bền vững theo thời gian.

Liên hệ ngay để được tư vấn chi tiết và đặt lịch thăm khám!

Dịch vụ Liên Quan

DÁN SỨ VENEER

Nha khoa tổng quát

TẨY TRẮNG RĂNG

Niềng răng mắc cài kim loại

Chữa tuỷ công nghệ mới

BỌC RĂNG SỨ THẨM MỸ